В МФТИ исследовали устойчивость опухолевых стволовых клеток немелкоклеточного рака легкого к лучевой терапии. При воздействии ионизирующего излучения эти клетки на время уходят в «спячку», а при наступлении благоприятных условий возобновляют активное деление и, таким образом, приводят к рецидивам. Работа была выполнена при поддержке Российского научного фонда, результаты опубликованы в ведущем научном журнале International Journal of Molecular Sciences (Q1).
На немелкоклеточный рак легкого приходится почти 85% всех случаев рака легкого, при этом пятилетняя выживаемость составляет всего около 8%. Стандартным методом лечения неоперабельных больных с этим заболеванием является лучевая терапия. Однако, несмотря на довольно большие дозы облучения и комбинацию с другими видами терапии, через некоторое время у пациентов может наступить рецидив. Поиском причин занимаются исследователи во многих странах.
Известно, что опухоль обладает гетерогенностью, то есть состоит из разных клеток. Среди них есть так называемые раковые стволовые клетки, обладающие сходными характеристиками с нормальными стволовыми клетками. По предположению ученых, именно они обладают повышенной устойчивостью к лучевой терапии и способностью выживать в самых неблагоприятных условиях. Научная группа под руководством Сергея Леонова, заведующего лабораторией МФТИ, взялась проверить, действительно ли эти клетки обладают такими свойствами.
Маргарита Пустовалова, старший научный сотрудник лаборатории разработки инновационных лекарственных средств и агробиотехнологий МФТИ, рассказывает : «Известно, что внутри опухоли есть популяции опухолевых стволовых клеток, которые обладают аномальной устойчивостью к радиотерапии, а впоследствии могут давать метастазы и приводить к рецидивам онкозаболеваний. Также известно, что такие клетки несут на своей поверхности определенные маркеры. Мы по этим маркерам выделили нужные нам стволовые клетки и воздействовали на них ионизирующим излучением».

Рисунок. Раковые стволовые клетки (слева) несут на своей поверхности специфические маркеры (например CD44+ и CD133+), которые позволяют выделять их из общей популяции клеток. При окрашивании антителами, мечеными флуорохромами, эти клетки дают более яркое свечение по сравнению с теми клетками, которые таких маркеров не имеют. Источник: International Journal of Molecular Sciences
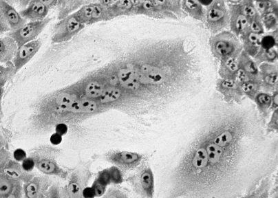
Ученые исследовали опухолевые стволовые клетки. Ранее было известно, что они обладают высокой способностью восстанавливать повреждения ДНК и избегать клеточной гибели. Оказалось, что эти клетки также обладают способностью в стрессовой для себя ситуации уходить в особое спящее состояние — либо покоя, либо состояние, называемое «преждевременным старением». В этом состоянии они переживают те дозы радиации, которые убивают обычные раковые клетки. А при наступлении благоприятного периода «просыпаются» и дают популяцию многоядерных клеток, которые затем делятся, давая новые дочерние раковые (в том числе стволовые) клетки и провоцируя таким образом рецидив болезни. Подобные популяции гигантских многоядерных опухолевых клеток обнаруживаются практически во всех опухолях.

Рисунок. При наступлении благоприятных условий гигантская многоядерная клетка делится и дает начало потомству одноядерных клеток. Фото: © Маргарита Пустовалова
Кроме того, обнаружилось, что раковые стволовые клетки ведут себя по разному в ответ на облучение. Чтобы выжить после радиации, одни погружаются в покой, другие предпочитают «преждевременное старение». Исследователи выявили, что это связано с тем, есть у них белок р53 или нет.
Сергей Леонов, руководитель лаборатории разработки инновационных лекарственных средств и агробиотехнологий МФТИ, поясняет: «Мы сравнивали две клеточные линии, которые, в частности, различаются по статусу транскрипционного фактора, белка р53. Этот белок, часто называемый “стражем генома”, кодируется в клетке геном-онкосупрессором ТР53, принадлежащим к семейству антионкогенов. Антионкогены в организме контролируют и предотвращают накопление клеток с аномальными изменениями генома, способствующими их злокачественной трансформации. р53 запускает транскрипцию группы генов и активируется при накоплении повреждений ДНК. Когда какие-то мутации возникают в гене ТР53, или если такой ген в клетке вообще отсутствует, то клетка приобретает злокачественные характеристики».
Биофизики извлекли раковые стволовые клетки из общей массы опухолевых клеток и разделили их по принципу наличия гена ТР53. Оказалось, что при наличии такого гена клетки на время уходят в «спящее» состояние, а в его отсутствие клетки переходят в состояние «преждевременного старения». Чтобы противораковая терапия была успешной в отношении таких клеток, врачам необходимо либо «пробудить» покоящиеся клетки, либо применить специальные вещества — «сенолитики», которые не позволяют опухолевым клеткам уйти в состояние «преждевременного старения». Поэтому так важно для каждого больного уметь вовремя определить вероятность того или иного поведения его собственных раковых клеток и выбрать соответствующую правильную тактику лечения.
«Наше исследование говорит о необходимости персонализированной терапии пациентов с немелкоклеточным раком легкого. Нужно проверять, какой статус ТР53 в клетках у конкретного пациента, и уже в связи с этим назначать терапию. Поскольку в зависимости от наличия или отсутствия р53 клетка может включать разные механизмы выживания. Нужно учитывать эти механизмы и воздействовать на них, препятствуя их развитию», — добавляет Маргарита Пустовалова.
Ученые считают, что раковые стволовые клетки являются основной возможных рецидивов после лучевой терапии, поэтому лечение должно быть не просто направлено на уничтожение общей массы опухоли, но проводиться с учетом особенностей ее стволовых клеток. В том числе необходимо выявлять в таких клетках наличие или отсутствие р53.
